Blog
L'utilisation de brossettes interdentaires permet un nettoyage approfondi des espaces situés entre les dents et peut éviter une récidive de parodontite
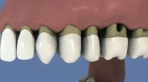
La couronne sur implant recouvre le pilier d'un implant dentaire, comme sur une dent naturelle, afin d’en restaurer l'esthétique et la fonction
Affichage des articles 1-6 sur 141
Découvrez notre collection de fiches et vidéos pédagogiques






